新浪微博
关注微信
注册
登陆
阴阳平衡
中医健康之道
做福人世
♥先天性肩关节脱位
♥定义
♥基本概述
♥病因
♥临床表现
♥检查诊断
♥鉴别诊断
♥并发症
♥治疗措施
♥如何预防
中医健道首页
>>先天性肩关节脱位概述
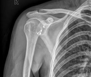
先天性肩关节脱位极其少见,文献上仅有少数个案报告。只有出生时发现肩关节脱位,才属于先天性的,即在子宫内就已形成病关节脱位。临床上所见到的常常为麻痹性的,多由于肩部肌肉麻痹所致,如分娩性臂丛神经损伤。新生儿期肩关节外伤性脱位几乎不发生。
【۩相关文章】
【☺用户提问】
先天性肩关节脱位是什么病?
什么叫做先天性肩关节脱位?
先天性肩关节脱位如何治疗?
先天性肩关节脱位怎么预防?
先天性肩关节脱位病因是什么?
先天性肩关节脱位吃什么药好?
先天性肩关节脱位吃什么好的快?
如何让先天性肩关节脱位好的快?
中医如何治疗先天性肩关节脱位?
西医如何治疗先天性肩关节脱位?
得了先天性肩关节脱位怎么办 需要怎么做?
吃什么食物对先天性肩关节脱位有好处?
先天性肩关节脱位的原因是什么?
人为什么会得先天性肩关节脱位?
先天性肩关节脱位要注意些什么?
先天性肩关节脱位要多久才能好?
先天性肩关节脱位严重,会导致什么?
怎么才能让先天性肩关节脱位快点好?
先天性肩关节脱位应该怎样做才能好得快?
先天性肩关节脱位不能吃那些东西?
先天性肩关节脱位了怎么样才能好受点?
如何才能快速的治愈先天性肩关节脱位?
先天性肩关节脱位有多少种?
先天性肩关节脱位时吃什么水果好?
先天性肩关节脱位需要注意些什么?
先天性肩关节脱位煲什么烫好吃
如何快速有效的治疗先天性肩关节脱位?
先天性肩关节脱位分哪几种类型?
如何防止先天性肩关节脱位?
什么偏方对先天性肩关节脱位 有用
得了先天性肩关节脱位有什么小秘方
什么药方对先天性肩关节脱位 有用
长期先天性肩关节脱位不好 怎么解决
先天性肩关节脱位吃药好还是自然痊愈好?
各种先天性肩关节脱位症状和常识用药
先天性肩关节脱位后要吃些什么?注意些什么?
۩ 先天性肩关节脱位
۞ 先天性肩关节脱位的概述
۞ 先天性肩关节脱位的定义
۞ 先天性肩关节脱位的基本概述
۞ 先天性肩关节脱位的病因
۞ 先天性肩关节脱位的临床表现
۞ 先天性肩关节脱位的检查诊断
۞ 先天性肩关节脱位的鉴别诊断
۞ 先天性肩关节脱位的并发症
۞ 先天性肩关节脱位的治疗措施
۞ 先天性肩关节脱位的如何预防
中医首页
疾病大全
药方功能
中医养生
中医药库
古今名医
中医医案
中医常识
中医问答
中医养生有道
中医白领养生
中医男人养生
中医女人养生
中医延年益寿
中医少儿益智
中医春季养生
中医夏季养生
中医秋季养生
中医冬季养生
中医美容
美容有方
明星美容秘方
中医祛斑
中医祛皱
中医祛痘
中医护发
中医美乳丰胸
中医美白
药膳食疗
食之有味
四季食疗
性福药膳
疾病食疗
美容药膳
减肥药膳
药粥
药酒
药茶
煲汤
中医减肥
中药减肥
针灸减肥
脐疗减肥
埋线减肥
小儿推拿
三伏天灸
动态前沿
误区提醒
针灸推拿
针刺艾灸
推拿按摩
刮痧
拔罐
耳穴奇谈
针灸美容
针灸减肥
疾病针灸
特色脐疗
望闻问切
四诊合参
小儿四诊
望神观色
五官五轮
听声闻味
百问其症
指上谈病
舌象图解
悬丝诊脉
© 2015-2016 vjvd.com All Rights Reserved.