新浪微博
关注微信
注册
登陆
阴阳平衡
中医健康之道
做福人世
♥透明细胞软骨肉瘤
♥概述
♥病因
♥临床表现
♥辅助检查
♥鉴别诊断
♥并发症
♥治疗
中医健道首页
>>透明细胞软骨肉瘤概述
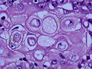
透明细胞软骨肉瘤与成软骨细胞瘤相似,是一种少见的亚型,恶性程度介于Ⅰ-Ⅱ级中心性软骨肉瘤之间。本病好发于股骨近端、肱骨近端、扁平骨和短骨的骨骺或骨凸,其发病年龄和性别与软骨肉瘤相似。临床上常表现为关节疼痛、积液和活动受限。本病以手术治疗为主,易复发,极少转移。
西医学名:
透明细胞软骨肉瘤
英文名称:
Clear-Cell Chondrosarcoma
发病部位:
全身
主要症状:
发热、身痛
所属科室:
骨科肿瘤科
【۩相关文章】
【☺用户提问】
透明细胞软骨肉瘤是什么病?
什么叫做透明细胞软骨肉瘤?
透明细胞软骨肉瘤如何治疗?
透明细胞软骨肉瘤怎么预防?
透明细胞软骨肉瘤病因是什么?
透明细胞软骨肉瘤吃什么药好?
透明细胞软骨肉瘤吃什么好的快?
如何让透明细胞软骨肉瘤好的快?
中医如何治疗透明细胞软骨肉瘤?
西医如何治疗透明细胞软骨肉瘤?
得了透明细胞软骨肉瘤怎么办 需要怎么做?
吃什么食物对透明细胞软骨肉瘤有好处?
透明细胞软骨肉瘤的原因是什么?
人为什么会得透明细胞软骨肉瘤?
透明细胞软骨肉瘤要注意些什么?
透明细胞软骨肉瘤要多久才能好?
透明细胞软骨肉瘤严重,会导致什么?
怎么才能让透明细胞软骨肉瘤快点好?
透明细胞软骨肉瘤应该怎样做才能好得快?
透明细胞软骨肉瘤不能吃那些东西?
透明细胞软骨肉瘤了怎么样才能好受点?
如何才能快速的治愈透明细胞软骨肉瘤?
透明细胞软骨肉瘤有多少种?
透明细胞软骨肉瘤时吃什么水果好?
透明细胞软骨肉瘤需要注意些什么?
透明细胞软骨肉瘤煲什么烫好吃
如何快速有效的治疗透明细胞软骨肉瘤?
透明细胞软骨肉瘤分哪几种类型?
如何防止透明细胞软骨肉瘤?
什么偏方对透明细胞软骨肉瘤 有用
得了透明细胞软骨肉瘤有什么小秘方
什么药方对透明细胞软骨肉瘤 有用
长期透明细胞软骨肉瘤不好 怎么解决
透明细胞软骨肉瘤吃药好还是自然痊愈好?
各种透明细胞软骨肉瘤症状和常识用药
透明细胞软骨肉瘤后要吃些什么?注意些什么?
۩ 透明细胞软骨肉瘤
۞ 透明细胞软骨肉瘤的概述
۞ 透明细胞软骨肉瘤的概述
۞ 透明细胞软骨肉瘤的病因
۞ 透明细胞软骨肉瘤的临床表现
۞ 透明细胞软骨肉瘤的辅助检查
۞ 透明细胞软骨肉瘤的鉴别诊断
۞ 透明细胞软骨肉瘤的并发症
۞ 透明细胞软骨肉瘤的治疗
中医首页
疾病大全
药方功能
中医养生
中医药库
古今名医
中医医案
中医常识
中医问答
中医养生有道
中医白领养生
中医男人养生
中医女人养生
中医延年益寿
中医少儿益智
中医春季养生
中医夏季养生
中医秋季养生
中医冬季养生
中医美容
美容有方
明星美容秘方
中医祛斑
中医祛皱
中医祛痘
中医护发
中医美乳丰胸
中医美白
药膳食疗
食之有味
四季食疗
性福药膳
疾病食疗
美容药膳
减肥药膳
药粥
药酒
药茶
煲汤
中医减肥
中药减肥
针灸减肥
脐疗减肥
埋线减肥
小儿推拿
三伏天灸
动态前沿
误区提醒
针灸推拿
针刺艾灸
推拿按摩
刮痧
拔罐
耳穴奇谈
针灸美容
针灸减肥
疾病针灸
特色脐疗
望闻问切
四诊合参
小儿四诊
望神观色
五官五轮
听声闻味
百问其症
指上谈病
舌象图解
悬丝诊脉
© 2015-2016 vjvd.com All Rights Reserved.