新浪微博
关注微信
注册
登陆
阴阳平衡
中医健康之道
做福人世
♥硬化型骨髓炎
♥概述
♥病因
♥症状体征
♥检查化验
♥鉴别诊断
♥并发症
♥治疗用药
中医健道首页
>>硬化型骨髓炎概述
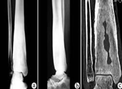
专家表示,硬化性骨髓炎又名Garre's病,特发性骨皮质硬化和干性骨髓炎,此病较少见。病因不明,不易找到致病菌。有时可能与损伤有关。损伤产生骨膜下血肿,形成钙化,本病多发生在青壮年,男多于女,体质多健壮,如运动员。长管骨均多发病,但下肢以胫骨最为多见。
疾病名称:
硬化型骨髓炎
所属部位:
全身
疾病别名:
Garre's病
就诊科室:
骨科
【۩相关文章】
【☺用户提问】
硬化型骨髓炎是什么病?
什么叫做硬化型骨髓炎?
硬化型骨髓炎如何治疗?
硬化型骨髓炎怎么预防?
硬化型骨髓炎病因是什么?
硬化型骨髓炎吃什么药好?
硬化型骨髓炎吃什么好的快?
如何让硬化型骨髓炎好的快?
中医如何治疗硬化型骨髓炎?
西医如何治疗硬化型骨髓炎?
得了硬化型骨髓炎怎么办 需要怎么做?
吃什么食物对硬化型骨髓炎有好处?
硬化型骨髓炎的原因是什么?
人为什么会得硬化型骨髓炎?
硬化型骨髓炎要注意些什么?
硬化型骨髓炎要多久才能好?
硬化型骨髓炎严重,会导致什么?
怎么才能让硬化型骨髓炎快点好?
硬化型骨髓炎应该怎样做才能好得快?
硬化型骨髓炎不能吃那些东西?
硬化型骨髓炎了怎么样才能好受点?
如何才能快速的治愈硬化型骨髓炎?
硬化型骨髓炎有多少种?
硬化型骨髓炎时吃什么水果好?
硬化型骨髓炎需要注意些什么?
硬化型骨髓炎煲什么烫好吃
如何快速有效的治疗硬化型骨髓炎?
硬化型骨髓炎分哪几种类型?
如何防止硬化型骨髓炎?
什么偏方对硬化型骨髓炎 有用
得了硬化型骨髓炎有什么小秘方
什么药方对硬化型骨髓炎 有用
长期硬化型骨髓炎不好 怎么解决
硬化型骨髓炎吃药好还是自然痊愈好?
各种硬化型骨髓炎症状和常识用药
硬化型骨髓炎后要吃些什么?注意些什么?
۩ 硬化型骨髓炎
۞ 硬化型骨髓炎的概述
۞ 硬化型骨髓炎的概述
۞ 硬化型骨髓炎的病因
۞ 硬化型骨髓炎的症状体征
۞ 硬化型骨髓炎的检查化验
۞ 硬化型骨髓炎的鉴别诊断
۞ 硬化型骨髓炎的并发症
۞ 硬化型骨髓炎的治疗用药
中医首页
疾病大全
药方功能
中医养生
中医药库
古今名医
中医医案
中医常识
中医问答
中医养生有道
中医白领养生
中医男人养生
中医女人养生
中医延年益寿
中医少儿益智
中医春季养生
中医夏季养生
中医秋季养生
中医冬季养生
中医美容
美容有方
明星美容秘方
中医祛斑
中医祛皱
中医祛痘
中医护发
中医美乳丰胸
中医美白
药膳食疗
食之有味
四季食疗
性福药膳
疾病食疗
美容药膳
减肥药膳
药粥
药酒
药茶
煲汤
中医减肥
中药减肥
针灸减肥
脐疗减肥
埋线减肥
小儿推拿
三伏天灸
动态前沿
误区提醒
针灸推拿
针刺艾灸
推拿按摩
刮痧
拔罐
耳穴奇谈
针灸美容
针灸减肥
疾病针灸
特色脐疗
望闻问切
四诊合参
小儿四诊
望神观色
五官五轮
听声闻味
百问其症
指上谈病
舌象图解
悬丝诊脉
© 2015-2016 vjvd.com All Rights Reserved.