新浪微博
关注微信
注册
登陆
阴阳平衡
中医健康之道
做福人世
♥先天性肌缺如
♥概述
♥病因
♥症状
♥检查
♥诊断
♥鉴别
♥并发症
♥治疗
中医健道首页
>>先天性肌缺如概述
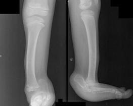
先天性肌缺如(congenital absence of muscles)临床上比较少见,是由于胎儿本身发育异常,或因在宫内受到机械阻碍所致。常表现为单块肌肉部分或全部缺如,也可表现为某一组肌肉的缺如。如果缺如的肌肉不能被其他正常肌肉所代偿,则可能出现畸形。
【۩相关文章】
【☺用户提问】
先天性肌缺如是什么病?
什么叫做先天性肌缺如?
先天性肌缺如如何治疗?
先天性肌缺如怎么预防?
先天性肌缺如病因是什么?
先天性肌缺如吃什么药好?
先天性肌缺如吃什么好的快?
如何让先天性肌缺如好的快?
中医如何治疗先天性肌缺如?
西医如何治疗先天性肌缺如?
得了先天性肌缺如怎么办 需要怎么做?
吃什么食物对先天性肌缺如有好处?
先天性肌缺如的原因是什么?
人为什么会得先天性肌缺如?
先天性肌缺如要注意些什么?
先天性肌缺如要多久才能好?
先天性肌缺如严重,会导致什么?
怎么才能让先天性肌缺如快点好?
先天性肌缺如应该怎样做才能好得快?
先天性肌缺如不能吃那些东西?
先天性肌缺如了怎么样才能好受点?
如何才能快速的治愈先天性肌缺如?
先天性肌缺如有多少种?
先天性肌缺如时吃什么水果好?
先天性肌缺如需要注意些什么?
先天性肌缺如煲什么烫好吃
如何快速有效的治疗先天性肌缺如?
先天性肌缺如分哪几种类型?
如何防止先天性肌缺如?
什么偏方对先天性肌缺如 有用
得了先天性肌缺如有什么小秘方
什么药方对先天性肌缺如 有用
长期先天性肌缺如不好 怎么解决
先天性肌缺如吃药好还是自然痊愈好?
各种先天性肌缺如症状和常识用药
先天性肌缺如后要吃些什么?注意些什么?
۩ 先天性肌缺如
۞ 先天性肌缺如的概述
۞ 先天性肌缺如的概述
۞ 先天性肌缺如的病因
۞ 先天性肌缺如的症状
۞ 先天性肌缺如的检查
۞ 先天性肌缺如的诊断
۞ 先天性肌缺如的鉴别
۞ 先天性肌缺如的并发症
۞ 先天性肌缺如的治疗
中医首页
疾病大全
药方功能
中医养生
中医药库
古今名医
中医医案
中医常识
中医问答
中医养生有道
中医白领养生
中医男人养生
中医女人养生
中医延年益寿
中医少儿益智
中医春季养生
中医夏季养生
中医秋季养生
中医冬季养生
中医美容
美容有方
明星美容秘方
中医祛斑
中医祛皱
中医祛痘
中医护发
中医美乳丰胸
中医美白
药膳食疗
食之有味
四季食疗
性福药膳
疾病食疗
美容药膳
减肥药膳
药粥
药酒
药茶
煲汤
中医减肥
中药减肥
针灸减肥
脐疗减肥
埋线减肥
小儿推拿
三伏天灸
动态前沿
误区提醒
针灸推拿
针刺艾灸
推拿按摩
刮痧
拔罐
耳穴奇谈
针灸美容
针灸减肥
疾病针灸
特色脐疗
望闻问切
四诊合参
小儿四诊
望神观色
五官五轮
听声闻味
百问其症
指上谈病
舌象图解
悬丝诊脉
© 2015-2016 vjvd.com All Rights Reserved.